Các giai đoạn phát triển của mụn rộp sinh dục & triệu chứng
- Tác giả: Hoài Thu - Cập nhật: 14/08/2023
- Tham vấn y khoa: BS. Lê Văn Điển
Bệnh mụn rộp sinh dục hay Herpes sinh dục là một trong những bệnh lây truyền qua đường tình dục phổ biến, do virus herpes simplex (viết tắt HSV) tạo nên. Hầu hết người bệnh không biết mình mắc phải, do mụn rộp sinh dục thường có những biểu hiện nhẹ dễ gây nhầm lẫn với các bệnh thông thường khác hoặc không có dấu hiệu nào.
Việc nhận biết các dấu hiệu bệnh để điều trị sớm, giúp bệnh nhanh khỏi, tránh các biến chứng ảnh hưởng tới sức khỏe và cuộc sống hằng ngày. Ngoài ra còn chủ động trong việc phòng tránh và ngăn ngừa lây nhiễm cho người xung quanh.
1. Bệnh mụn rộp sinh dục phát triển qua 2 giai đoạn cơ bản
Sơ nhiễm
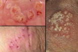
Bị lây nhiễm virus herpes qua quan hệ tình dục không an toàn, gây sốt và đau rát khu vực bộ phận sinh dục. Các tổn thương gồm các chùm mụn nước, khi vỡ ra tạo thành những vết loét tròn. Bệnh kéo dài từ 2 - 6 tuần thì khỏi.

Tái phát
Phát ban hay đi tiểu cảm giác nóng rát. Ngứa và xuất hiện các mụn nước nhỏ chứa dịch trong, mọc thành chùm trên nền hồng ban, sau vài ba giờ hóa đục, vỡ ra tạo vết loét tròn xếp thành chùm. Bệnh kéo dài sau 1 tuần tự biến mất không để lại sẹo.
Các triệu chứng kèm theo khi mụn rộp sinh dục tái phát bao gồm: sốt, cơ thể mệt mỏi, đau nhức cơ, tiểu rát tiểu buốt, tiết dịch hôi, rối loạn kinh nguyệt, đau khi quan hệ tình dục...
Herpes sinh dục ủ bệnh trong bao lâu?
Herpes sinh dục cần thời gian ủ bệnh từ 2–20 ngày, sau khi nhiễm virus hsv mới bắt đầu gặp triệu chứng. Nhưng cũng có thể mất nhiều năm, bệnh mới có các triệu chứng đầu tiên.
Khi những vết loét lành trở lại sau khi bùng phát bệnh, virus Herpes vẫn ở trong cơ thể người bệnh và có thể gây ra loét một lần nữa. Cách duy nhất để xác định mắc phải herpes sinh dục là đến gặp bác sĩ. Nếu người bệnh bắt gặp triệu chứng, chuyên gia có thể chẩn đoán bệnh khi thăm khám các vết loét. Nếu không có triệu chứng, đối tượng cần xét nghiệm máu để xác định bệnh.
2. Biểu hiện mụn rộp sinh dục
Có khoảng hơn 10% người bệnh có virus HSV trong cơ thể nhưng không có dấu hiệu bệnh, chỉ khi gặp những điều kiện thuận lợi cho virus phát triển như bệnh tật, sức đề kháng suy giảm, cơ thể suy nhược, trầm cảm, phẫu thuật, quan hệ thô bạo luôn với tần suất cao, dị ứng... thì những virus hsv này mới bùng phát tạo nên các triệu chứng.
Những dấu hiệu herpes sinh dục thường gặp nhất là vết loét tại bộ phận sinh dục hoặc ở miệng. Tuy nhiên, phần lớn những trường hợp mắc herpes sinh dục không có bất kỳ triệu chứng nào.

3. Triệu chứng mụn rộp sinh dục ở nam giới
Những nốt mụn đỏ li ti giống như mụn nước thường sẽ xuất hiện tại bao quy đầu, rãnh quy đầu, lỗ niệu đạo hay cả thân dương vật sau thời gian ủ bệnh khoảng 2 - 7 ngày (hoặc hơn).
Ở những khu vực bị nhiễm mụn rộp sinh dục, người bệnh sẽ có cảm giác đau rát, thậm chí một vài trường hợp còn xuất hiện dấu hiệu như nhức đầu, sốt, tiểu buốt hay gặp phải đau cơ xương. Nếu không được chữa, lâu ngày các nốt mụn đỏ sẽ tạo thành từng cụm hay từng mảng hình tròn hoặc hình cầu. Màu sắc những nốt mụn cũng chuyển dần từ màu đỏ sang màu trắng hoặc vàng.
Sau thời gian vài ngày, những nốt mụn này sẽ bị vỡ ra tạo nên các vết loét có vảy, khiến cho người bệnh cảm thấy đau đớn. Những vết loét này sẽ tự khô lại và đóng vảy trong khoảng thời gian 5 ngày đến 2 tuần. Các vết loét có thể tự khỏi, nhưng rất dễ bị tái phát lại.

4. Triệu chứng mụn rộp sinh dục ở nữ giới
Cũng giống như nam giới, sau thời gian 2-7 ngày (hoặc hơn) nữ giới sẽ bắt gặp các vết mụn đỏ nhỏ cùng với cảm giác đau, ngứa tại cô bé hay vùng kín, âm hộ, môi nhỏ, niệu đạo, cổ tử cung...
Đầu tiên vết loét chỉ là các nốt mụn nước nhỏ, màu đỏ li ti. Bệnh nhân nhiễm bệnh có cảm giác đau tại các vị trí nốt mụn. Nhưng sau vài ngày, những nốt mụn này sẽ phát triển thành mủ. Sau đó sẽ vỡ ra tạo thành các ổ viêm nhiễm, nở loét gây đau đớn cho người bệnh. Vài ngày sau các ổ loét này sẽ đóng vảy và tự khỏi, tuy nhiên các triệu chứng này có thể sẽ lặp lại khi tái phát bệnh.
Cùng với sự xuất hiện của các vết loét, nữ giới bị nhiễm phải bệnh mụn rộp sinh dục còn có thể bắt gặp các dấu hiệu kèm theo như sưng hạch bạch huyết, mỏi mệt, đau đầu, sốt nhẹ.
Bài viết đã chia sẻ thông tin về các giai đoạn phát triển của mụn rộp sinh dục (herpes sinh dục) và các triệu chứng, dấu hiệu bệnh ở nam và nữ giới. Khi phát hiện dấu hiệu bệnh, bạn nên đi thăm khám và điều trị sớm tránh kéo dài khiến bệnh lan rộng hơn.
Nếu có thắc mắc nào hay các cây hỏi về bệnh mụn rộp sinh dục, bệnh xã hội, các bệnh nam khoa phụ khoa, bạn có thể liên hệ tổng đài tư vấn miễn phí 0869.953.872 để được giải đáp nhé!



