TOP 15+ Cách chữa bệnh sùi mào gà tại nhà hiệu quả nhất
- Tác giả: - Cập nhật: 09/01/2023
- Tham vấn y khoa: BS.
Do tâm lý e ngại và gặp khó khăn trong việc đi chữa bệnh sùi mào gà tại các phòng khám và bệnh viện. Nhiều người đã tìm cách chữa sùi mào gà tại nhà bằng các mẹo hay bài thuốc dân gian.
Bài viết này chúng tôi sẽ chia sẻ cho bạn các cách chữa sùi mào gà tại nhà hiệu quả nhất cho cả nam giới và phụ nữ đang đươc mọi người lưu truyền rộng rãi.
I. Sùi mào gà là gì?
Bệnh sùi mào gà là 1 trong các bệnh hoa liễu hay gặp hiện nay và với tốc độ lây lan nhanh chóng cho bất kỳ ai. Căn bệnh được tạo nên do virus human papilloma (HPV). Đây là virus ký sinh chủ yếu tại những nơi đựng màng nhầy, niêm mạc và bán niêm mạc như: cơ quan sinh dục, miệng, mắt, hậu môn. Sau khi cơ thể bị virus này thâm nhập thì khoảng thời kì ủ bệnh khoảng 2 - 9 tháng, sau đó sẽ có những triệu chứng bệnh ra bên ngoài nhận thấy được.
Thường thì đàn ông và phụ nữ sau khi nhiễm bệnh sẽ có những biểu hiện khác nhau, do sự khác biệt về cấu trúc bộ phận thân thể.

Sùi mào mà là bệnh hay gặp ở cả nam và nữ, vậy chữa sùi mào gà tại nhà như thế nào?
II. Nguyên nhân bệnh sùi mào gà
Theo những chuyên gia, có nhiều nguyên nhân tạo nên bệnh sùi mào gà nhưng không thể không nói đến những nguyên do chủ yếu dưới đây:
Qua con đường tình dục
Quan hệ tình dục không an toàn là nguyên nhân chủ yếu dẫn đến căn bệnh sùi mào gà tại nam giới và nữ giới. Khi xảy ra quan hệ tình dục, các vết xước tại niêm mạc bộ phận sinh dục có thể tạo thành nguồn truyền nhiễm can bệnh sùi mào gà. Ko chỉ giao hợp tại vùng kín, mà những hình thức quan hệ khác như: giao hợp bằng mồm, quan hệ tình dục qua hậu môn… cũng đều mang nguy cơ truyền nhiễm bệnh sùi mào gà.

Những người dễ mắc bệnh sùi mào gà
Những người có đời sống tình dục phức tạp, nhiều bạn tình, nhưng không sử dụng biện pháp quan hệ an toàn, những người hành nghề gái bán dâm... truyền nhiễm qua vết thương hở.
Các vết thương hở ở nơi chứa HPV như: bộ phận sinh dục, mắt, đường miệng, "cửa sau",... Đều có thể trở thành nguồn lây sùi mào gà sang người khác.
Theo đó, khi bạn có các tiếp xúc với những vết thương tại nơi chứa sùi mào gà, rồi lại vô tình chạm vào vết thương, hay các vùng da nhạy cảm của mình. Bạn hoàn toàn có thể bị truyền nhiễm bệnh từ người khác. Do thế, hãy dùng đồ bảo hộ khi xúc tiếp có những vết thương hở của người, khác để bảo vệ bản thân mình một cách tốt nhất.
Lây qua đồ vật cá nhân với người bệnh
Lúc xúc tiếp các cơ quan chứa virus sùi mào gà, các đồ vật này có thể mang theo virus gây bệnh và truyền nhiễm sang.
Nhất là, trong điều kiện ẩm thấp, virus HPV có thể mất khoảng thời gian ngắn để lây truyền sang người khác. Các vật dụng như: Khăn mặt, khăn tắm, bồn cầu, nhà vệ sinh, nắm cửa, bàn cạo râu, bàn chải đánh răng…
Lây truyền từ mẹ sang con
Theo các chuyên gia, phụ nữ bị sùi mào gà không nên chọn phương pháp sinh thường, bởi thai nhi lúc đi qua cổ tử cung và âm hộ của mẹ có thể nuốt phải virus HPV hay bị xâm nhập từ lớp niêm mạc mỏng. Từ đấy, có thể hình thành căn bệnh sùi mào gà tại sau khi sinh.
Bên cạnh đó, trong quá trình chăm sóc trẻ nhỏ như: lúc cho con bú, ôm, hôn và những tiếp xúc gần gũi khác, người nhiễm phải sùi mào gà có thể truyền nhiễm sang cho con.
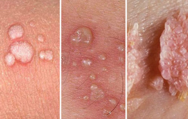
III. Biểu hiện của bệnh sùi mào gà
Sùi mào gà có thể gặp ở cả nam giới và phụ nữ, căn bệnh thường xuất hiện ở bộ phận sinh dục. Sau thời gian ủ bệnh 2 – 9 tháng, sùi mào gà sẽ phát bệnh, khi này bệnh nhân sẽ bắt gặp những triệu chứng của căn bệnh. Cụ thể như:
Triệu chứng bệnh sùi mào gà ở nam giới
Ngày thường, sức đề kháng của nam giới tốt hơn phụ nữ, bộ phận sinh dục cũng khô khoáng hơn, bệnh sùi mào gà khó biểu hiện ra. Khi sức đề kháng yếu, bệnh sẽ phát triển rầm rộ và có các triệu chứng tại nam giới như sau:
- Thân, đầu cậu nhỏ, bìu, rãnh bao quy đầu của nam giới bắt gặp các nốt nhọt sùi, u nhú.
- Nốt mụn sùi có màu hồng hoặc màu da cậu bé. Ban sơ nhọt mọc đơn lẻ không gây đau, không gây ngứa.
- Thời kì sau, bệnh nặng mụn nhọt mọc thành từng cụm như súp lơ hay mào gà. Mụn khi này với kích cỡ lớn, mắc phải va chạm sẽ dễ vỡ, chảy mủ gây ngứa ngáy, đau rát.
- Nam giới cảm thấy đau rát khi đi giải, chảy máu khi đi đại tiện, đau khi quan hệ.
Dấu hiệu bệnh sùi mào gà tại nữ giới
Bệnh sùi mào gà ở phụ nữ phát triển mạnh mẽ hơn so với nam giới. Bạn sẽ nhận ra bệnh thông qua các biểu hiện sau:
- Khối u nhú, nhọt sùi vững mạnh tại 2 bên môi lớn, môi bé, âm đạo, thành vùng kín, lỗ niệu đạo, cổ tử cung.
- Mới đầu nốt mụn mang màu hồng có kích thước hơi nhỏ. Sau đó mụn sẽ nặng hơn với kích cỡ to.
- Khi mới mắc bệnh nữ giới không bắt gặp ngứa, đau nhưng khi mụn vỡ thì gây đau, gây ngứa, dễ viêm nhiễm.
- Cô bé tiết dịch nhiều thất thường, có mùi hôi.
- Đau lúc quan hệ.
IV. Tổng hợp các cách chữa bệnh sùi mào gà tại nhà hiệu quả cao
Dùng mẹo dân gian là một trong các cách điều trị sùi mào gà đơn giản, dễ làm và ít tốn kém nhất.
Sau đây là 1 số phương pháp chữa bệnh sùi mào gà tại nhà bằng mẹo dân gian bạn có thể áp dụng:
1. Chữa bệnh sùi mào gà tại nhà bằng tỏi

Tỏi vốn có tính sát khuẩn cao, khi ăn trực tiếp còn giúp nâng cao đề kháng cho cơ thể. Để thực hiện cách điều trị sùi mào gà tại nhà bằng tỏi, cùng với việc bổ sung thực phẩm này vào menu hàng ngày thì người bệnh có thể giã nát các tép tỏi, sau đó đắp trực tiếp lên những nốt u nhú sùi mào gà do virus hpv gây ra.
2. Chữa bệnh sùi mào gà tại nhà bằng nước ép lô hội (nha đam)
Nhờ công dụng giảm viêm nhiễm, sát trùng, chống sưng mà nhiều người đã vận dụng giải pháp chữa sùi mào gà ở nhà bằng nha đam (cây lô hội). Phương pháp đơn giản là dùng phần gel của nha đam để thoa trực tiếp lên vùng da thương tổn đã được vệ sinh sạch sẽ trước đó. Hoặc cách khác là lấy nha đam ép thành nước rồi mới bôi lên da.
3. Điều trị sùi mào gà tại nhà bằng vỏ chuối
Dùng vỏ chuối là cách thức trị bệnh sùi mào gà đơn giản tại nhà, cách này bất kỳ ai cũng có thể thực hiện.
Chuối có tác dụng cho ức chế virus hpv sinh sôi, chống khuẩn và tiêu viêm, người bệnh có thể lấy vỏ chuối chà nhẹ nhàng lên khu vực da nổi các nốt u nhú.
4. Chữa sùi mào gà tại nhà bằng chiết xuất trà xanh
Theo 1 số nghiên cứu, việc dùng sinecatechin được chiết xuất trong trà xanh để loại bỏ những nốt sùi tương đối hiệu quả. Đối có biện pháp điều trị sùi mào gà tại nhà bằng chiết xuất trà xanh, người bệnh có thể bôi vào da trực tiếp sau đó giữ nguyên mà không cần thiết phải vệ sinh lại vùng da đã bôi trước đó.
5. Điều trị sùi mào gà tại nhà với lá tía tô
Theo các bài thuốc dân gian trước đây, lá tía tô có thể ngăn ngừa đề phòng các nốt sùi mào gà ở miệng truyền nhiễm ra những khu vực tiếp giáp, lá tía tô còn chống viêm nhiễm và kháng khuẩn. Bệnh nhân rửa sạch một nắm lá tử tô, đem giã nát cùng muối dưới ấy đắp trực tiếp vào vùng da đang mắc phải thương tổn khoảng 20 phút rồi rửa sạch.
6. Chữa trị sùi mào gà tại nhà hiệu quả bằng tinh bột nghệ vàng
Nghệ là 1 thảo dược thiên nhiên với rất nhiều công dụng cho sức khỏe. Chất curcumin chính là thành phần quý giá có ở trong nghệ. Trong thành phần của nghệ với đựng hoạt chất curcumin cho chống khuẩn, kháng viêm, kháng virus, hỗ trợ làm cho lành vết thương và tránh để lại sẹo.
Cách làm: trộn đều tinh bột nghệ với dầu oliu, sau đó đắp hỗn hợp trực tiếp lên những nốt u nhú. Tới lúc bắt gặp hỗn hợp khô lại thì gỡ bỏ và rửa vết thương nhẹ cùng nước ấm.
7. Chữa bệnh sùi mào gà tại nhà bằng tinh dầu tràm
Dùng tinh dầu tràm trà là một cách thức chữa trị sùi mào gà ở nữ đơn giản tại nhà, nhờ đặc tính sát khuẩn và giảm bớt độ viêm, ức chế vi rút gây bệnh. Cùng với đó, bệnh nhân nên lưu ý tinh dầu tràm trà lúc lạm dụng, hoặc phục vụ bệnh nhân mang cơ địa mẫn cảm sẽ mang nguy cơ khiến da bị bỏng.
Cách làm: xoa tinh dầu tràm lên nốt sùi ngày 1-2 lần. Thực hiện đều đặn tới khi nốt sùi hết thì thôi.
8. Chữa sùi mào gà bằng khoai tây
Một trong những bài thuốc chữa trị sùi mào gà mà ít người bệnh nào tưởng tượng chính là khoai tây. Đây là một nguyên liệu dễ dàng thấy trong căn bếp nhà bạn, chỉ cần 1 củ khoai tây và thực hiện theo hướng dẫn sau đây là bạn đã có thể loại bỏ các dấu hiệu sùi mào gà gây nên ngay tại nhà đơn giản:
Để chữa sùi mào gà bằng khoai tây có thể thực hành hai cách:
Cách 1: cạo vỏ, rửa sạch, đem cắt thành từng lát mỏng rồi đắp lên vùng da tổn thương.
Cách 2: ép khoai tây thành nước, dùng gạc sạch thấm vào các nốt sùi. Những chất sát trùng trong khoai tây sẽ hỗ trợ làm cho lành tổn thương nốt sùi do virus hpv.

9. Trị sùi mào gà tại nhà bằng giấm táo
Hàm lượng axit tự nhiên trong giấm táo có thể sát khuẩn, ngăn mầm bệnh sùi mào gà lớn mạnh. Cách làm cũng rất đơn giản, đối tượng chỉ cần lấy gạc sạch, thấm 1 ít giấm táo rồi chấm nhẹ vào những nốt sùi. Người bệnh cần phải chú ý không bôi giấm táo lên các vùng da lành vì có thể khiến da bỏng rát.
10. Rau sam là cách chữa trị sùi mào gà tại nữ đơn giản đem lợi ích tốt
Rau sam trong y học cổ truyền có tính hàn, vị chua, không với độc, được coi như 1 loại kháng sinh. Theo y học hiện đại thì rau xam có vitamin dồi dào, axit folic, magie, kẽm… giúp thanh lọc cơ thể. Bên cạnh phương pháp chế biến rau sam thành món ăn, bạn với thể giã nát rau sam chắt lấy nước uống hàng ngày.
11. Điều trị sùi mào gà tại nhà với hoa cúc vàng
Theo đông y, hoa cúc vàng có tính hàn, vị ngọt và đắng, mùi thơm và ít độc. Chữa sùi mào gà bằng hoa cúc vàng sẽ cho tiêu nhiễm trùng, giải độc, sát khuẩn.
Cách thực hiện: lấy 1 ít hoa cúc vàng đem hãm như pha trà, hoặc sắc nước uống, sử dụng để uống hàng ngày liên tục.
12. Chữa sùi mào gà tại nhà bằng chiết xuất cây phỉ
Một số nghiêm cứu cho biết, chiết xuất từ cây phỉ cũng có tác dụng chữa trị 1 số căn bệnh da liễu, trong ấy có bệnh sùi mào gà. Cách điều trị sùi mào gà tại nhà bằng chiết xuất cây phỉ được khuyến cáo là không được bôi quá sâu vào bên trong hậu môn và bộ phận sinh dục.
Lưu ý: những phương pháp chữa bệnh sùi mào gà tại nhà chỉ là cách tạm thời, không có khả năng tiêu diệt triệt để virus hpv. Nếu như sử dụng sai giải pháp thức sẽ gây thương tổn và viêm nhiễm da, khiến hiện trạng căn bệnh nặng hơn.

Phương pháp đốt sùi mào gà
Có nhiều biện pháp chữa bệnh sùi mào gà khác như dùng thuốc, đốt điện, đốt laser….Tuy nhiên, các phương pháp này luôn chỉ ứng dụng với trường hợp bệnh nhẹ. Không thể trị ở vị trí khó như dương vật của nam, tử cung, cổ tử cung của nữ. Hơn nữa, người bệnh còn phải chịu cảm giác đớn đau về da chết, lâu lành vết thương, để lại sẹo xấu.
13. Thuốc điều trị sùi mào gà
Ngày nay. có nhiều loại thuốc trị sùi mào gà được bán trên thị trường. Việc dùng thuốc để chữa bệnh nên theo sự chỉ dẫn của các bác sĩ chuyên khoa bệnh da liễu.
Thuốc chữa sùi mào gà được chia làm hai loại, một là loại thuốc chấm dung dịch và thuốc mỡ bôi xung quanh nốt sùi.
Thuốc trị bệnh sùi mào gà là một trong những phương pháp thức trị bệnh sùi mào gà được vận dụng khi căn bệnh mới tại giai đoạn đầu.
- Thuốc chấm sùi mào gà
Loại thuốc này chuyên gia sẽ chỉ định dùng với các thương tổn nhỏ, tiêu dùng bằng phương pháp sử dụng tăm bông chấm tỷ mỉ nước rửa loãng lên vị trí nốt sùi giúp đến khi nốt sùi trắng ra. Lưu ý là chấm 1 lần/ tuần, rửa sạch thuốc dưới 1-3h, đừng nên để lâu sẽ gây loét da.
Chú ý: khi tiêu sử dụng thuốc tuyệt đối không được chấm vào cổ tử cung, lỗ niệu đạo, bên trong "cửa sau", quy đầu cậu bé, không sử dụng cho phụ nữ có thai. Trong trường hợp nốt sùi đã khô vẫn chấm để đảm bảo hiệu quả tốt, tránh nguy cơ nốt sùi xuất hiện lại.
- Thuốc mỡ bôi sùi mào gà
Người bệnh bôi thuốc quanh đó nốt sùi để vùng da gặp phải tổn thương mau chóng lành. Và lưu ý bôi thuốc 2 lần/ ngày, không bôi ở những nơi mang vết loét sâu để giảm bị viêm, tuyệt đối cũng không được chấm vào cổ tử cung, lỗ niệu đạo, bên trong hậu môn, quy đầu dương vật, không chỉ định cho phụ nữ mang thai.
Bạn cần giữ vết loét được khô, sạch sẽ, không để bị ẩm, nhiễm trùng, không quan hệ tình dục trong thời gian điều trị bệnh.
14. Chữa trị bệnh sùi mào gà bằng phương pháp nội khoa
Trường hợp gặp phải sùi mào gà thời kỳ đầu, chưa có những biểu hiện rõ ràng sẽ được chữa bằng thuốc.
Bên cạnh đó, thuốc sẽ không có tác dụng tốt với trường hợp bệnh nặng, có thể gây viêm nhiễm da. Chú ý, nếu như tự tiện sử dụng thuốc không theo bác sĩ chỉ định sẽ gây nhiều biến chứng nguy hại.
15. Chữa trị sùi mào gà bằng đốt điện
Phương truyền thống này sử dụng cái điện để tác động vào mụn sùi và xoá sổ vi khuẩn gây bệnh. Nhưng đốt sùi mào gà sẽ gây nên đau đớn, khả năng bình phục trễ, căn bệnh dễ tái phát.
16. Trị sùi mào gà bằng tia laser
Đốt tia laser được chữa bằng biện pháp sử dụng tia laser chiếu trực tiếp vào những vị trí mụn nhọt sùi để tiêu diệt virus.
Nếu lựa chọn chữa bệnh bằng cách làm theo này thì sẽ phải làm hồ hết lần đốt, quá trình đốt gây đau, cháy da, hiệu quả tốt. Hơn nữa cách này sử dụng phạm vi điều trị hẹp, không vận dụng cho sùi mào ở ở hậu môn, âm hộ hay cổ tử cung.
KẾT LUÂN: Sùi mào gà là một bệnh xã hội nguy hiểm, có tốc độ lây lan nhanh chóng. Đây là một căn bệnh tế nhị, nhưng bạn hãy gạt bỏ tâm lý e dè, sẵn sằng đến gặp chuyên gia sớm. Chữa sùi mào gà càng sớm càng tốt, để giảm thiểu phải gánh chịu các biến chứng khôn lường bởi căn bệnh tạo ra. Chú ý, để phòng bệnh hãy xây dựng đời sống tình dục lành mạnh. Ko nên vì giải quyết nhu cầu sinh lý mà mang bệnh vào thân.
Xem thêm >> gai sinh dục: Nguyên nhân, dấu hiệu & cách điều trị



